Le variazioni della temperatura sono pericolose per gli ipertesi!
Pulsazioni alla testa
Mal di testa
Arrossamento del volto
Insonnia e nervosismo
Fiato corto
Nausea
Vertigini
Riduzione della vista
Affaticamento e fiacchezza
Crampi muscolari
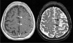
I cambiamenti della temperatura aumentano il rischio di infarto e ictus!
L'80% degli ictus si verifica nei periodi delle variazioni della temperatura!
Prendi cura della tua salute prima che sia troppo tardi
"Quando si soffre di ipertensione, le variazioni della temperatura influiscono tantissimo sul sistema
cardiovascolare, causando le gravi disfunzioni a tutti i sistemi del corpo. I vasi sanguigni sono
sovraccaricati e non riescono a funzionare bene, la pressione inizia a salire, aumentando così il
rischio di infarto e ictus"
Le capsule Tonerin hanno una composizione naturale
che protegge dall'ipertensione
Vitamina C
migliora la resistenza dei vasi sanguigni, normalizza il metabolismo del colesterolo, ha un effetto positivo sul sistema endocrino e nervoso
Estratto di foglie d'ulivo
normalizza il livello di colesterolo nel sangue, previene lo sviluppo dell'aterosclerosi. Aiuta a prevenire la formazione di placca arteriosa e riduce il rischio di infarto e ictus
Cromo
oltre a garantire una sana condizione dei tessuti del corpo, aiuta a mantenere i livelli di zucchero nel sangue entro limiti normali
Estratto di Silvestro Gymnema
riduce la pressione sanguigna, allevia irritabilità e affaticamento, protegge dalle aritmie
Tonerin riduce il carico sul cuore e sul sistema sanguigno
Normalizza la pressione senza provocare lo stress al corpo
1
Il mal di testa non dà più alcun fastidio
2
La memoria e l'attenzione vengono migliorate
3
Sparisce il fiato corto
e il dolore cardiaco
4
Il sonno si normalizza
5
Il corpo si riempie di energia e vivacità
6
Aumento della libido
7
Liberazione dallo stress
e dalla tensione nervosa
8
Miglioramento della vista e dell'udito
Attenzione!Solo oggi il 25 aprile
Vecchio prezzo
78€
Nuovo prezzo39€
L'offerta speciale termina tra:
00:27:00
I risultati degli studi clinici su Tonerin
La ricerca è stata condotta su 2344 persone, che sono
state monitorate per 4 mesi (2 mesi durante l'assunzione di Tonerin e 2 mesi dopo il ciclo di assunzione)
87%
la pressione si è normalizzata nel corso del primo mese
96%
il miglioramento della condizione generale della salute
92%
non soffre più di ipertensione durante le variazioni della temperatura
Tonerin ha ottenuto non solo la certificazione obbligatoria, ma anche quella facoltativa
Tonerin aiuta a normalizzare la pressione durante le variazioni della temperatura
Il periodo delle variazioni della temperatura è estremamente pericoloso per le persone che soffrono di
ipertensione. I cambiamenti della temperatura ostacolano il lavoro del cuore, provocando un aumento della
pressione sanguigna, che a sua volta può portare ad un attacco di cuore o ad un ictus. Per evitare
questo rischio, vi suggerisco di prendere le capsule Tonerin.
Si tratta di un prodotto unico, che è stato
elaborato per essere utilizzato nei periodi, quando il sistema cardiovascolare
è sottoposta al
massimo carico.
Tonerin normalizza i ritmi cardiaci e respiratori, espande i vasi sanguigni,
equilibra il sistema
nervoso. Abbassa e stabilizza la pressione sanguigna in modo delicato e sicuro.
Enrico Rosaticardiologo
Gli esperti consigliano Tonerin
Bernardo Rinaldi
Cardiologo
I periodi delle variazioni della temperatura possono avere un influsso negativo sulla salute e, per
quanto riguarda l'ipertensione, è una questione di vita e di morte. Ecco perché
l'intera comunità medica ha riconosciuto Tonerin come un rimedio che aiuta il corpo ad
affrontare il carico causato dalle temperature e a salvare vite umane.
Pietro Binaghi
Cardiologo
Credo che il vantaggio principale di Tonerin sia che restringe i vasi e fornisce un graduale
abbassamento della pressione. La pressione sanguigna si abbassa dolcemente, i sintomi come mal di
testa, vertigini e nausea scompaiono molto velocemente.
Alessandro Mattesini
Terapeuta
Consiglio di prendere Tonerin, perché è un prodotto a base vegetale e non ha effetti collaterali.
Tonerin aiuta a qualsiasi età a prescindere dalla causa di pressione alta.
Anna Esposito
Cardiologa
Il sistema cardiovascolare soffre molto quando la temperatura cambia, il numero di ictus e attacchi
cardiaci risulta più alto. Grazie a Tonerin, la situazione sta migliorando: i pazienti tollerano
più facilmente le variazioni di temperatura, il loro benessere viene migliorato e
l'ipertensione non rappresenta più un problema urgente e pericoloso.
Attenzione!Solo oggi il 25 aprile
Vecchio prezzo
78€
Nuovo prezzo39€
L'offerta speciale
termina tra:
00:27:00
Recensioni degli acquirenti di Tonerin
Maria Salzano
Tonerin mi ha aiutato con il mal di testa
Ho sofferto dall'ipertensione. Tutto è perché la mia pressione alta è ereditaria. Assumevo
gli antidolorifici in continuazione, ma sapevo che non era la soluzione giusta. Il problema è stato
risolto con le capsule Tonerin. Da quando assumo questo rimedio, l'ipertensione non mi ha più
dato fastidio. Non si è verificato nemmeno un giorno rovinato da mal di testa.
Umberto
Fierro
Non mi sentivo così bene ormai da tanto tempo
Tonerin ha cambiato la mia vita. Soffrivo dall'ipertensione, mi riempivo con gli antidolorifici, al
lavoro prendevo i giorni di malattia e passavo tutto il tempo a letto. Ma dopo un ciclo di Tonerin, la
pressione è normalizzata e non aumenta. Non ho più paura per la mia salute e passo molto tempo
con gli amici.
Roberto
Ciccarelli
Ho notato i miglioramenti significativi della memoria e della vista
È un ottimo rimedio per la pressione, la abbassa gradualmente e in modo sicuro. Il prodotto ha un
effetto interessante. La mia memoria è migliorata, ho cominciato a ragionare meglio. In più,
anche la mia vista è stata rafforzata, quindi il prodotto ha diversi effetti benefici.
Alessio
Gallardo
Non ho più paura delle variazioni di temperatura
I cambiamenti di temperatura hanno sempre agito male su di me. Vale a dire che la mia pressione sanguigna
saliva drasticamente. Mi sentivo malissimo: la fiacchezza costante. Ma dopo che ho iniziato a prendere
Tonerin, la situazione è cambiata. La pressione sanguigna non aumenta più, mi sento bene a
prescindere dal tempo.
Vittoria
D'Angelo
Il problema della pressione è risolto
I miei problemi di pressione sono ereditari, ma li avverto pienamente solo quando sono in vacanza, quando
non dormo abbastanza e mi muovo tanto. Fortunatamente, una mia amica mi ha consigliato Tonerin. Aiuta
benissimo, la pressione si abbassa delicatamente, non causando le vertigini. Consiglio a tutti gli
ipertesi con l'ipertensione ereditaria.
Manuela
Bianchi
Nessun effetto collaterale
Tonerin mi ha impressionato per l'assenza di effetti collaterali. Spesso certi prodotti sono
pericolosi per il fegato e per tutto il corpo. Invece ho assunto Tonerin tranquillamente, senza avere
paura di rovinare il corpo. La pressione è nella norma, mi sento bene.
Armando
Fonseca
Ottima composizione ed effetto
Tonerin ha sia vischio che melissa. Tanto tempo fa ho letto che questi componenti sono efficaci per
l'ipertensione, quindi stavo cercando un prodotto che li contiene. Infatti, ho trovato Tonerin. Le
mie aspettative sono state superate, perché adesso la pressione è sempre buona. Ho consigliato
questo rimedio a tutti i miei parenti e amici che soffrono di ipertensione.
Francesco
Saviano
Ha salvato me e mio padre
Per me Tonerin è diventato numero uno tra i prodotti contro l'ipertensione. Aiuta se la
pressione aumenta a causa dello stress, del nervosismo, o se si tratta solo di una giornata dura. Ma anche
se una persona è predisposta all'ipertensione a causa dell'età. Questo prodotto ha
liberato dai problemi di pressione sia me che mio padre. Lui ha sofferto di ipertensione per quasi tutta
la sua vita.
Anna
Beretta
Stabilizza la pressione delicatamente
Ho provato molti prodotti contro l'ipertensione. Ma non ero soddisfatta di nessuno di loro. Invece
Tonerin è un prodotto perfetto. La pressione si abbassa pian piano, senza salti improvvisi e il
prodotto ha un sapore neutro.
Maria
Ponzi
Ha aiutato a prevenire la crisi ipertensiva
Ho comprato Tonerin su consiglio di una mia amica che soffriva di ipertensione. L'ho ordinato e
l'ho provato quando la pressione è salita. Il risultato mi ha soddisfatto al cento percento. La
pressione è scesa da 140/90 a 110/70 e poi è rimasta stabile per molto tempo.
Daniele
Castiello
Aiuta se viene assunto secondo il foglio illustrativo
All'inizio pensavo che Tonerin non funzionasse. Ma è stata colpa mia, perché non ho seguito
le istruzioni. Da quando ho iniziato ad assumerlo ogni giorno, la pressione è diventata come quando
ero giovane. Stabile e bassa.
Giovanna
Messina
Ideale contro l'aumento della pressione nelle ore mattutine
Tonerin è un rimedio affidabile per un buon inizio di giornata. Da quando ho iniziato ad assumerlo,
la pressione sanguigna non mi ha più dato fastidio, smettendo a rovinare le mie giornate. Ho
completamente smesso di assumere gli antidolorifici per il mal di testa.
Alberta
Izzo
Abbassa efficacemente la pressione sanguigna
Con l'età, la pressione ha iniziato a salire anche durante il riposo. Ho cercato di evitare
l'uso dei rimedi, ma alla fine mi sono arresa. Quindi ho ordinato Tonerin. Se avessi saputo prima
della sua efficacia, l'avrei ordinato prima. Ho completato un ciclo di assunzione, la pressione è
stabile già da due mesi.
Michele
Santoro
Un'ottima alternativa ai prodotti farmaceutici
I miei soliti rimedi contro la pressione sanguigna sono diventati meno efficaci. Invece il problema di
ipertensione è diventata più frequente. Tonerin è un rimedio che garantisce l'aiuto in
caso di ipertensione. L'effetto dura a lungo, la pressione si abbassa dolcemente.
Anna
Smeraldo
Assenza di mal di testa e ragionamento lucido
Appena la pressione sanguigna saliva, la mia testa iniziava a scoppiare dal dolore. Il mal di testa era
così forte che nessun rimedio era efficace. Ma dopo aver iniziato a prendere regolarmente Tonerin,
il mal di testa ha smesso di rovinarmi. Sono piacevolmente sorpresa dall'effetto.
Claudio
Grimaldi
Non ho più paura dell'ictus
La pressione sanguigna è pericolosa, quindi se la pressione inizia ad essere instabile, è
necessario prendersi cura della propria salute. Tonerin aiuta a migliorare la salute. Rafforza i vasi
sanguigni, recuperando la loro elasticità. Ho completato un ciclo di trattamento e il problema di
pressione alta è sparito.
Elisa
Adinolfi
Davvero abbassa la pressione, però la spedizione è avvenuta in ritardo
L'assunzione di Tonerin è stata solo un'esperienza positiva. Oltre alla pressione stabile,
anche il mio umore è migliorato. L'unica pecca è che la consegna è stata ritardata di un
giorno, ma per il resto tutto è benissimo.
Anna
Cafaro
Un rimedio naturale e efficace
Non mi piacciono i prodotti sintetici che mi seccano la gola e mi fanno venire le vertigini. Così ho
ordinato Tonerin — un rimedio davvero naturale a differenza dagli altri prodotti venduti in farmacie. Mi
aiuta contro la pressione alta, sono soddisfatta del risultato e ho ordinato un'altra confezione tanto
per sicurezza.
Enzo
Landi
Adesso la mia pressione sanguigna è stabile
Consiglio Tonerin a tutti, sono sicuro che è il rimedio migliore contro l'ipertensione. Per
ottenere i risultati migliori, è necessario prendersi qualche giorno libero
dall'esercizio fisico, in modo che l'effetto arrivi molto più velocemente. Il prodotto
stesso riduce la pressione rapidamente, senza nuocere alla salute. Sto assumendo il prodotto da tre
settimane, l'effetto è notevole.
Rosanna
Aliberti
Facile da assumere, un effetto rapido
Tonerin è il rimedio per l'ipertensione. L'assunzione è molto comoda, il prodotto ha la
forma delle capsule. Allevia rapidamente tutti i sintomi dell'ipertensione. È facile completare
tutto il ciclo, non ti accorgi nemmeno che stai facendo una cura per l'ipertensione. Ma dopo
l'assunzione la salute sarà ottima.
Carlo
Martinelli
Posso di nuovo lavorare e riposare tranquillamente
A causa della pressione, mi faceva molto male la testa, e interferiva non solo con il mio lavoro, ma anche
con il mio riposo. Poiché non ci si può riposare assumendo le pillole, ma solo dormire sul
divano. Tonerin ha cambiato la mia vita. Adesso la pressione è sempre stabile, passo il tempo come
voglio, lavoro meglio di prima.
Hai preso Tonerin? Aiuta gli altri ad assicurarsi che sia efficace.
Utilizza i simboli dalla A
alla Z
Utilizza i simboli dalla A alla
Z
La tua valutazione
Lascia la recensione
Grazie! La tua recensione è stata accettata e inviata
per la moderazione!
Come assumere Tonerin
Assumere 1 capsula 2 volte al giorno ai pasti
Fare tutti i giorni durante l'intero ciclo
Ripetere il ciclo tra 2-3 mesi
Per accelerare l'effetto di Tonerin, bisogna evitare di esporsi al sole
nelle ore più calde
Per il massimo effetto di Tonerin, bisogna completare un ciclo di vitamine
per il sistema cardiovascolare
Per prevenire l'ipertensione, bisogna limitare il consumo di cibi grassi
e alcolici
Enrico Rosati
cardiologo
Ordinare il vero Tonerin è possibile solo sul nostro sito
1
Compila il modulo sul sito
2
Aspetta la telefonata dell'operatore
3
Paga alla consegna
4
Normalizza la pressione
Per eventuali domande, puoi sempre contattarci per una consulenza gratuita e
dettagliata sul prodotto e sulla sua assunzione.
Tonerin
le capsule per la normalizzazione della pressione durante le variazioni della temperatura
Dopo 1 solo ciclo di assunzione:
Viene ridotto il carico sul cuore, sui vasi sanguigni e sul sistema
respiratorio
Vi diremo tutto su questo prodotto e offriremo le migliori condizioni!
Terms of Use
The information provided on this website is for informational purposes only and is not intended as a substitute for advice from your physician or other health care professional or any information contained on or in any product label or packaging. An advice of a physician should always be sought before using any type of supplemental dietary product. The products advertised here are not intended to diagnose, cure or prevent any disease. If there is a change in your medical condition, please stop using the product and immediately consult your health care professional.
Please keep in mind the fact that the results may vary from individual to individual, depending on health status, sex, age and lifestyle.
Be advised that there is a material connection between the Affiliate operating this website and the Provider of the products or services mentioned within it. In addition, the Affiliate may get a monetary commission or non-monetary compensation whenever you take action by clicking on a hyperlink on this website. This includes, but is not limited to, whenever you purchase a product or service from the Provider after clicking an affiliate link on this website.
The site recommends daily sports activities and a proper diet, which are the main factors that lead to a healthy lifestyle.
All trademarks on this website whether registered or not, are the property of their respective owners. Licensed photos for illustrative purposes only, models are not endorsed.
Use of this Website is subject to the following terms and conditions:
The contents of this Website are intended to be used for general information purposes only and may be altered at any time, at our discretion.
Neither we, nor any third parties involved provide a guarantee to the accuracy, timing, performance, completeness or suitability of the information and materials that can be found and are offered on this Website. You acknowledge that such information and materials may include inaccuracies and also that we are not responsible for any errors or problems which may occur due to such inaccuracies.
The use of the information and materials on this Website is entirely under your own risk, for which we cannot be held responsible. It is your own responsibility to ensure that any products, services or information provided by this Website will meet your specific requirements.
This Website includes materials that are not in our possession or licensed by us. These materials include, among other things, the design, layout, look, appearance and graphics. The reproduction is totally prohibited as part of the terms and conditions and violates copyright laws.
From time to time, this Website may also include links to other Websites. These links are provided at your convenience, in order to provide further information or services. It does not automatically mean that we support these Websites. We take no responsibility for the content of Websites to which we link to.
Please note that we do not lie in connection with the companies mentioned on this Website and that we acknowledge that the products, company names and logos are trademarks of their respective owners. The website is just an advertising source, where reviews and pricing information of the product may be found.
LLC "TD Globus Contract" OGRN 1161832052832
TIN 1840051997, 426072, Izhevsk,
St. Molodezhnaya, house 35 office 13.
Close
Privacy Policy
Your Privacy
Your privacy is important to us. To better protect your privacy we provide this notice explaining our online information practices and the choices you can make about the way your information is collected and used. To make this notice easy to find, we make it available on our homepage and at every point where personally identifiable information may be requested.
Other Third Party ad servers or ad networks may also use cookies to track users activities on this website to measure advertisement effectiveness and other reasons that will be provided in their own privacy policies, the website has no access or control over these cookies that may be used by third party advertisers.
Collection of Personal Information
When visiting this website, the IP address used to access the site will be logged along with the dates and times of access. This information is purely used to analyze trends, administer the site, track users movement and gather broad demographic information for internal use. Most importantly, any recorded IP addresses are not linked to personally identifiable information.
Links to third party Websites
We have included links on this site for your use and reference. We are not responsible for the privacy policies on these websites. You should be aware that the privacy policies of these sites may differ from our own.
Changes to this Privacy Statement
The contents of this statement may be altered at any time, at our discretion.
Close
Return Policy
If you are not completely happy with any items from your order, you may return them to us within 30 days from the date of delivery (subject to the conditions below) for a refund or store credit (you can choose on your returns form). Please note your returns must be delivered to us within this time frame.
Returns & home pick-ups
We are pleased to offer a returns collection service to all customers for any purchases that meet our Returns Policy. Every package that we ship out includes a pre-paid returns label.
Exchange
To avoid disappointment we advise that you place a new order for any items you wish to exchange for and request a refund for your return, as the items you want may sell out in the time it takes for us to receive your return. We are not able to hold items and cannot guarantee their availability prior to receiving your return.
Conditions for return
Items must be in brand new condition and show no signs of wear with all original packaging, garment tags, and labels still attached. Original shoe boxes and other containers that products are sold in are considered part of the product and must also be returned in undamaged and unused condition. Items returned without their branded packaging will not be accepted.
We do not accept items that have been damaged by wear and tear, altered, or washed incorrectly (please check washing instructions on all garments before handling). When trying items on, please be sure they do not come in contact with perfumes, sprays, creams, or other chemicals, and be sure to try shoes on a soft clean surface.
Fees
The delivery cost of the return package will be deducted from the refund amount. This price may vary depending on the weight, volume, and country of the returning package.
For orders within the European Union, any shipping or gift wrapping fees are non-refundable. Kindly note that for international orders the costs of gift wrapping, shipping, as well as any import taxes and duties paid are non-refundable.
Please note monitors the number and condition of products returned and orders cancelled by customers. Violations of our returns policy, frequent returns or cancellations will be flagged and may, at our discretion, lead to the closure of your account or future orders being refused.
Exclusions
Kindly note that we do accept the return of swimwear, but only if the original hygienic sticker (if applicable) was not removed and it’s still in its place.
Notwithstanding the aforementioned policy, reserves the right to make any final decision in case of refund requests based on unique and/or extraordinary circumstances that might arise from objective difficulties during the return process. Also reserves the right to make the final decision in lieu of the returns policy and/or to charge an additional restocking and processing fee might additionally be applied for.